- news
- 2026.04.07
- 【新浦安のマウスピース矯正専門サイト開設】精密検査を重視した質の高い矯正治療

-
歯並び気になって
思いきり笑えない -
都内まで通院
するの正直きつい -
マスクを外す
場面が増えて
口元不安 -
痛みとか違和感で
治療続けられるか心配 -
写真撮るとき
無意識に口隠しがち -
接客や営業で
もっと印象よくしたい
新浦安ハーヴェスト歯科・矯正歯科の矯正治療で解決!
RESOLUTION!
-
01年間症例数
307の実績
安心・安全を
支える体制専門知識と技術を備えた歯科医師が担当します。
院内の厳しい基準をクリアした歯科医師のみが治療を行い、安定した治療品質を維持しています。※症例数は2023年1月〜12月の実績です。
-
02専門性の高い
歯科医師による
診療豊富な知識と経験をもとに、質の高いマウスピース矯正をご提供します。
-
03最先端技術を
活かした精密治療光学スキャナーやCTによる三次元解析をもとに、精度の高い治療を提供しています。
-
04矯正を中心とした
高度審美・
機能治療セラミック治療や咬合治療を融合し、専門性の高い審美・機能治療を一院で完結します。
マウスピース
矯正
CLEAR ALIGNER
ORTHODONTICS
-
- 専門矯正治療
- 矯正に特化した歯科医師が担当し、確かな専門知識と臨床経験をもとに治療を進めています。
-
- 一貫診療体制
- 経験豊富な歯科医師が、初回カウンセリングから治療完了まで継続して責任を持って対応します。
-
- 個別最適提案
- 歯並びの状態や日常生活のスタイルを踏まえ、それぞれに適した治療計画をご提案します。
-
- 総合口腔管理
- 歯周病や虫歯の治療も含め、口腔内全体を見据えた包括的なサポート体制を整えています。
魅せる笑顔を
手に入れる
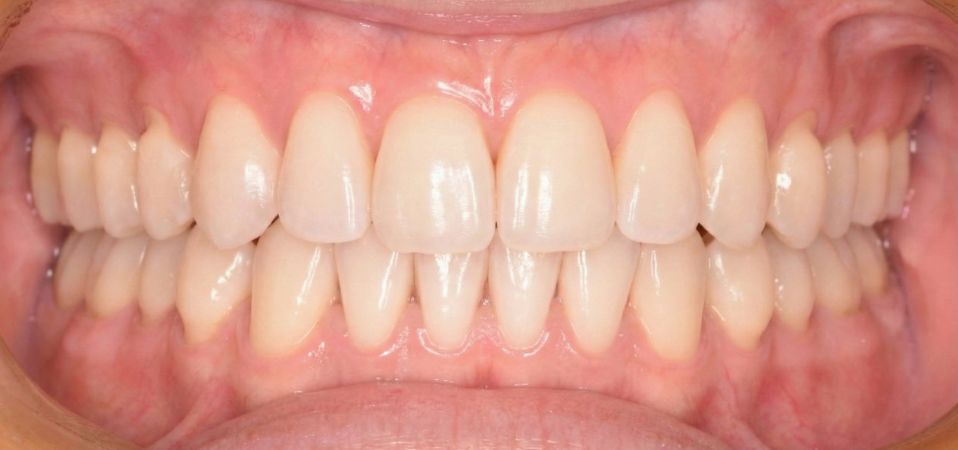
高度な診断と技術を持つ専門性のある歯科医師が担当したマウスピース矯正の一例
Before
After
マウスピース矯正(20代女性)
| 抜歯 | あり |
|---|---|
| 治療期間 | 2.5年 |
| 通院回数 | 12回 |
| 費用 | 1,023,150円 |
| リスク・副作用 | 歯根吸収、疼痛、咬合の変化、後戻りなど |
※本症例の結果は患者さま個々の状況により異なります

- 装置を目立たせず矯正したい方
- 口元を気にせず過ごしたい方
- 食事や歯磨きを続けたい方
- 痛みや違和感を抑えたい方
- ワイヤー矯正に不安な方
- 自分で外して調整したい方
マウスピース矯正の
メリット
Merit
-
01目立ちにくい
透明なマウスピース型装置を使用するため、周囲に気づかれにくい治療方法です。
写真撮影や人前に立つ場面でも、口元を過度に意識せずに過ごせます。 -
02生活への
影響が少ない装置はご自身で取り外しが可能なため、食事や歯磨きもこれま
で通り行えます。
日常の習慣を大きく変えずに続けられる矯正治療です。 -
03快適で衛生的
ワイヤー矯正と比較して異物感や擦れが少なく、口腔内への負担を軽減します。
取り外して洗浄できるため、清潔な状態を保ちやすい点も特長です。 -
04無理のない
治療計画ライフスタイルやご予定に合わせて、継続しやすいペースで 治療を進められます。日常と両立しやすい設計が可能です。
治療の流れ
Flow
-
01
矯正相談無料
-
02
精密検査
-
03
綿密な治療計画の立案・診断
-
04
虫歯や歯周病の治療
ブラッシングの練習 -
05
装置装着・調整
-
06
保定期間・定期チェック
マウスピース矯正の
料金
Price
| 相談料 | 無料 |
|---|---|
| 矯正検査・診断料 | 33,000円 |
| 基本料(調整料込み) | 98万2,500円 〜108万5,850円 |
その他、定定期的な歯周病予防のメンテナンスが必要になる方もいます。
3か月に1度程度 保険治療:3,000円程度
ワイヤー
矯正
WIRE
ORTHODONTICS
※画像はイメージです
日本矯正歯科学会
認定医の先生が担当
マウスピースでは難しい複雑な歯並びや噛み合わせの調整も、
ワイヤー矯正でしっかり整えられます。
ワイヤー矯正の
料金
Price
| 相談料 | 無料 |
|---|---|
| 矯正検査・診断料 | 33,000円 |
| 基本料(調整料込み) | 86万6,250円 〜133万9,250円 |
